Pro stomatology
Mikroskopická endodoncie
Nabízíme spolupráci jako refernční pracoviště se specializací na mikrochirurgickou endodoncii a reendodoncii. Referované pacienty ošetříme dle provozních možností v co nejkratší době.
Spolupráci nabízíme v případě:
- Odstranění zalomených kořenových nástrojů
- Uzavření zcestných preparací s perforací
- Reendodontické ošetření s vysokou mírou úspěšnosti
- Endodoncie u zubů s komplikovanou anatomií kořenového systému
- Endodoncie u zubů se špatným přístupem
Cílem konvenčního i mikroskopického ošetření kořenových kanálků, je jejich nalezení, zprůchodnění, vyčištění a definitivní zaplnění v celé délce. Nicméně úspešnost taktilní metody doplněné pouze nepřímým pohledem bez vizualizace je nesporně nižší a vede často k flustrujícímu selhání a nutnosti ošetřovaný zub extrahovat. Vizualizace dovoluje díky zvětšení a práci výhradně v nepřímém pohledu, ošetřovat pod přímou kontrolou zraku a zajistit tak ošetření všech kořenových kanálků i u zubů konvenční metodou ošetřitelných jen velmi omezeně.
Hlavní uplatnění však mikroskopická stomatologie nalézá u reendodoncie. Která provedená s použitím vizualizace operačním mikroskopem, nabízí velmi dobrou úspešnost a prognózu.
Neméně důležitá pro prognózu zubu je postendodoncie,kterou provádíme v návaznosti na endodontické ošetření. Defintivní protetické ošetření již provádí referující lékař.
Referované pac. můžete objednat přímo nebo jim poskytnout kontakt. K ošetření je potřeba anamnéza a RTG snímky (možno zhotovit i na našem pracovišti) s požadavkem na typ a rozsah ošetření endodocie prostá nebo i postendodoncie(minimum je definitivní ošetření kořenových kanálků oš. zubu, maximum u referovaných pacientů je dostavba zubu se sklovláknovými čepy a předbroušením na schůdek a příp. prov. korunka).
Pulpitis acuta 11 Komplikace - poúrazová obliterace kořenového kanálku
Reendodoncie u zubu s pulpoparondotální lézí
Zub 36 byl příčinou submukózního abscesu s iniciální viklavostí 2-3st,v roce 2009 po ošetření kořenových kanálků a nezcela RTG uspokojivém zaplnění, došlo během dvou let k úplnému vyhojení léze (rok 2011). Klinicky zub klidný bez známek zánětu a patologikcé viklavosti.
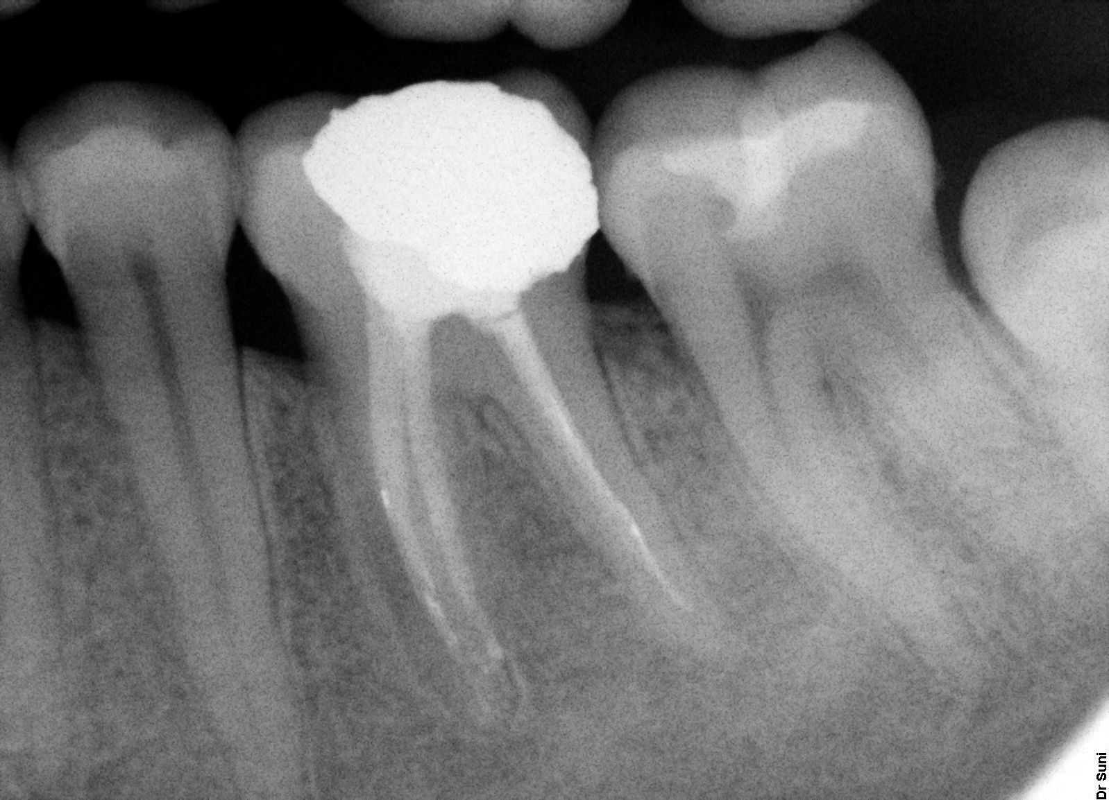
První horní molár přítomnost MB2 v naprosté většině případů
Klinické studie udávají četnost druhé kořenového nakálku v mesiobukálním kořeni mezi 60-95%, ze zkušenosti při práci s OM, potvrzuji že jeho četnost se blíží k téměř 100%. Bez řádné vizualizace a snesení převisu z dentinu pomocí ultrazvuku, lze tento kanálek v bežné praxi ošetřit je velmi omezeně. A nenelezení vede často k selhání terapie a ztrátě tohoto pro mastikaci velmi důležitého zubu.
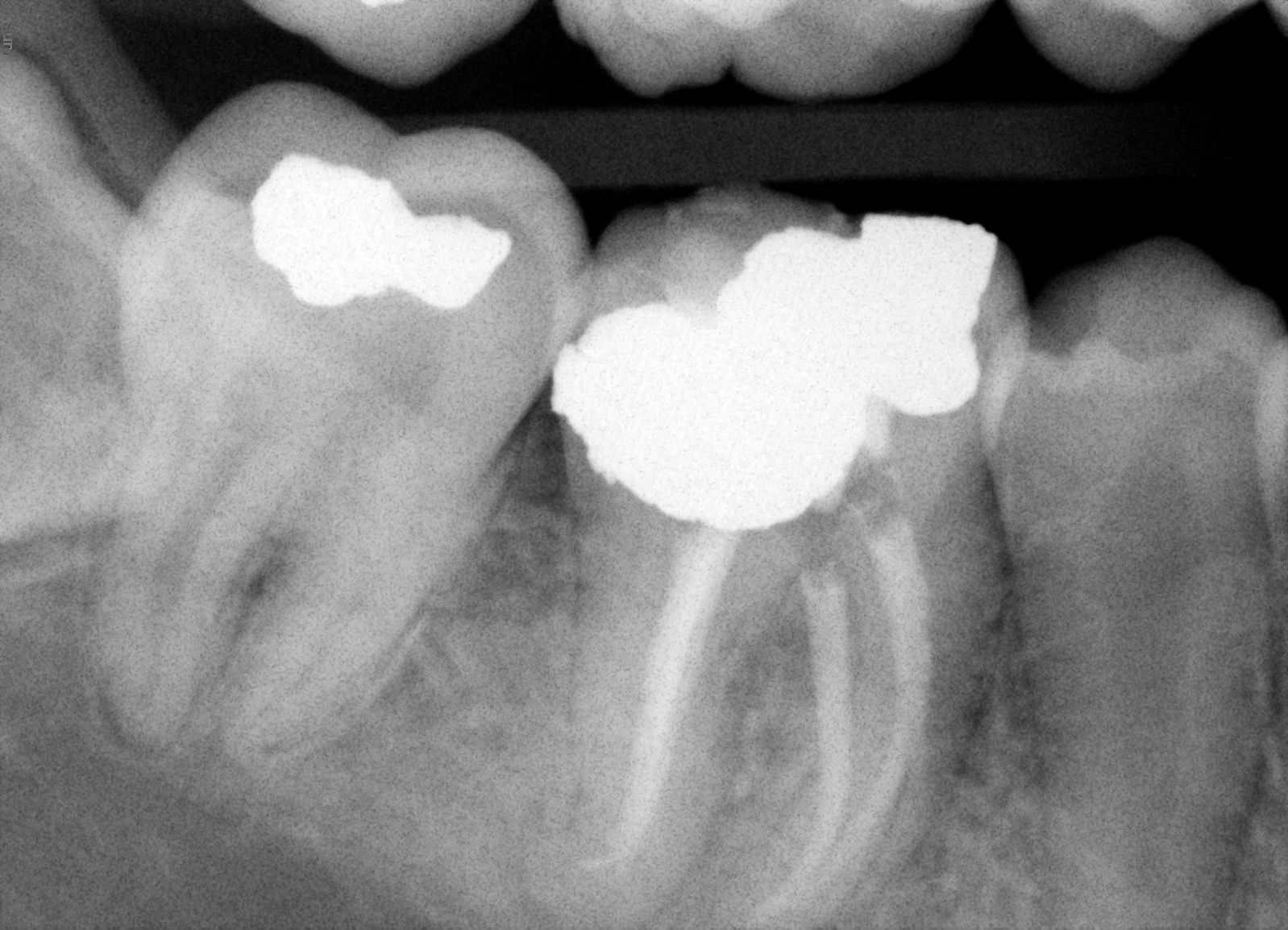
Ošetření zubů s 5 kořenovými kanálky
Dolní molár 46 s 5k.k. po ošetření. Vizualizace pomocí operačního mikroskopu umožňuje plnou kontrolu nad preparací i plněním kořenových kanálků.
Implantologie
Hledáte spolupracující pracoviště pro implantologii? Chcete svým pacientům nabídnout alternativu k můstku nebo snímací protetice?
Nabízíme široký rozsah spolupráce od samostatného zavedení implantátu (chirurgická fáze) po kompletní ošetření včetně protetické fáze.
Používáme implantologické systémy s dlouholetou tradicí a osvědčenou kvalitou.
Možnost implantologické konzultace u referovaných pacientů.
Lze zavédst v indikovaných případech okamžitě zatížitelné implantáty. Jedná se především o poúrazové stavy ve frontálním úseku, kdy lze zhotovit okamžitě prov. náhradu a pacient je bez estetického hendikepu.
Preferujeme ošetření All on 4 v dolní i horní čelisti, v horní čelisti alternativně All on 6. Snižujeme finanční náročnost a zjednodušujeme samotný výkon.
Jsme schopni ošetřit i komplikované případy vyžadující augmentaci kosti. (Preferujeme pokud indikace umožňuje jednodobé augmentace se zavedením).
Zhotovení OPG/3D
Naše zubní centrum je vybaveno přístrojem Ajat Art Pro, který díky senzoru s patentovanou přímou konverzí a multifokální technologií, umožňuje velmi ostré a přesné extraorální snímky, jak klasické OPG, tak snímky čelistního kloubu, vedlejších nosních dutin a bitewing projekci u pac. kteří nesnesou senzor nebo film v ústech. Nedílnou součástí dobré péče o pacienty je pravidelná rentgenologická kontrola, jak intraorální pomíc BW projekce tak OPG. Diagnostika sekundráních kazů, chronických periapikálních lézí a retencí 3 molárů je předpokladem jejich ošetření. Díky multifokální technologii je možné z jednoho datasetu (0,5GB dat) udělat několik snímků s různým cílením a tedy různou diagnostickou hodnotou.
- Vyšší rozlišení a kvalita snímku
- Bez zkreslení ve střední čáře
- Možnost cíleně díky multifokální technologii zaostřit požadovanou oblast, získáte tak dva snímky jeden
- Přehledný se zaměřením na celý chrup a další cílený na vámi zvolenou oblast
- Odeslání v digitální podobě, nebo nahrání na zvolené médium
- Možnost dodání programu umožňující další úpravu a práci se snímky
- Za zhotvení OPG fakturace 225Kč
- Za zhotovení extraorální projekce (BW, TMJ) fakturace 150Kč

Provoz RTG pracoviště (vyšetření v odpoledních a podvečerních hodinách, samostatná čekárna, objednání pacientů na čas)